European Conference on Interventional Oncology
ECIO countries
GENERAL - ECIO 2026

April 26 - 30 | Basel, CH

April 26-30 | Basel, CH

April 26-30 | Basel, CH

April 26-30 | Basel, CH

April 26-30 | Basel, CH

ProgrammeSneak peeksTransarterial embolization in the management of extra-spinal bone metastases

Transarterial embolization in the management of extra-spinal bone metastases

Three things you will learn at my lecture

1. Selective arterial embolization is an effective palliative and adjunctive treatment for bone metastases, providing significant pain relief, local tumor control, and reduced surgical blood loss.

2. Patient and tumor selection is critical, as the greatest benefits are seen in hypervascular metastases and when embolization is performed close to surgery.

3. Embolization expands multidisciplinary treatment strategies, showing safety and efficacy both as a standalone palliative option and in combination with radiotherapy, chemoembolization, or percutaneous techniques.

Dr. Giancarlo Facchini
Speaker bio | View the session
 

Bone metastases show variable degrees of vascularity, with some lesions being highly vascular due to abnormal neovascularization, making surgical treatment challenging because of the risk of severe bleeding. In this setting, selective arterial embolization has emerged as an important therapeutic option, particularly for palliative purposes, as it can significantly reduce tumor vascularity and provide effective pain relief. Bone metastases markedly impair patients’ quality of life by causing pain, functional limitation, and an increased risk of pathological fractures. Although radiotherapy remains the gold standard for the treatment of painful bone metastases, its effectiveness is often incomplete and limited by side effects, tumor radio-resistance, and variable treatment responses.

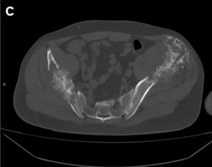
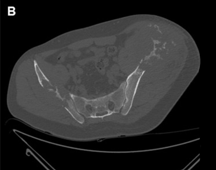
Since the 1970s, arterial embolization has progressively gained a central role in the management of metastatic bone disease, representing a safe alternative for patients who are not candidates for surgery. By selectively occluding tumor-feeding arteries, embolization induces devascularization and tumor shrinkage, combining palliative benefits with a degree of local tumor control (Figure 1).

Figure 1: A 56-year-old male patient with two large metastases from renal cancer localized in both iliac bones. (A) panoramic DSA angiogram showing two large hypervascular masses supplied by hypertrophic vessels arising mainly from in internal iliac artery (asterisk). (B) Pre-embolization CT-scan demonstrating the two large lytic lesions of both iliac bones and (C) 6-month follow-up CT showing marked calcification of the lesions.

A well-established indication is preoperative embolization, particularly for hypervascular metastases, where it has been shown to reduce intraoperative blood loss, improve surgical visualization, and shorten operative time. These benefits are most pronounced when embolization is complete and when surgery is performed on the same day. Conversely, evidence suggests that patients with non-hypervascular metastases may not derive significant benefit from preoperative embolization in terms of blood loss, transfusion requirements, complications, or survival.

From a palliative perspective, arterial embolization has shown high efficacy in pain control. Large clinical series report pain reduction greater than 50% in the vast majority of patients, with a mean duration of relief ranging from 8 to 10 months. Repeat embolization can be performed in cases of pain recurrence. In addition to symptom control, significant tumor size reduction and partial ossification have been observed in some patients. Complications are generally mild and include post-embolization pain, transient paresthesia, and occasional skin injury.

Embolization has also been successfully integrated into combination treatment strategies. Transarterial chemoembolization (TACE), alone or combined with radiotherapy, has demonstrated superior radiological response and longer-lasting palliation compared with radiotherapy alone, particularly in patients with symptomatic bone metastases refractory to first-line radiation. Combined approaches with percutaneous techniques, such as osteoplasty, have further improved pain control and functional outcomes without increasing complication rates.

In summary, arterial embolization is a valuable and versatile tool in the management of bone metastases, particularly for patients who are not surgical candidates or who have disease refractory to radiation or systemic therapies. Despite limited data on long-term durability, palliative embolization remains an effective option for local tumor control and meaningful improvement in quality of life.

Giancarlo Facchini

Rizzoli Orthopaedic Institute, Bologna, IT

Dr. Giancarlo Facchini is an interventional radiologist at Rizzoli Orthopaedic Institute, head of the Interventional Angiographic Radiology unit and adjunct professor at University of Bologna. Dr. Facchini’s interests are broad and focus on innovation in minimally invasive therapies for oncologic and degenerative diseases, as well as on a multidisciplinary approach. The team is committed to providing patients with the most advanced and effective interventional therapeutic options available.

 

References:

  1. Papalexis N, Peta G, Carta M, Quarchioni S, Di Carlo M, Miceli M, Facchini G. How Arterial Embolization Is Transforming Treatment of Oncologic and Degenerative Musculoskeletal Disease. Curr Oncol. 2024 Nov 26;31(12):7523-7554. doi: 10.3390/curroncol31120555. PMID: 39727678; PMCID: PMC11674545.
  2. Rossi G, Mavrogenis AF, Rimondi E, Braccaioli L, Calabrò T, Ruggieri P. Selective embolization with N-butyl cyanoacrylate for metastatic bone disease. J Vasc Interv Radiol. 2011 Apr;22(4):462-70. doi: 10.1016/j.jvir.2010.12.023. Epub 2011 Mar 2. PMID: 21367617.
  3. Geraets SEW, Bos PK, van der Stok J. Preoperative embolization in surgical treatment of long bone metastasis: a systematic literature review. EFORT Open Rev. 2020 Jan 29;5(1):17-25. doi: 10.1302/2058-5241.5.190013. PMID: 32071770; PMCID: PMC7017594.
  4. Kato S, Murakami H, Minami T, Demura S, Yoshioka K, Matsui O, Tsuchiya H. Preoperative embolization significantly decreases intraoperative blood loss during palliative surgery for spinal metastasis. Orthopedics. 2012 Sep;35(9):e1389-95. doi: 10.3928/01477447-20120822-27. PMID: 22955407.
  5. Heianna J, Makino W, Toguchi M, Iraha T, Ishikawa K, Kusada T, Maemoto H, Takehara S, Ariga T, Murayama S. Transarterial Chemoembolization for the Palliation of Painful Bone Metastases Refractory to First-Line Radiotherapy. J Vasc Interv Radiol. 2021 Mar;32(3):384-392. doi: 10.1016/j.jvir.2020.10.031. Epub 2020 Dec 13. PMID: 33323324.